脳卒中
脳卒中にどのような思いをお持ちですか?当院を受診される多くの方が脳卒中を心配されています。脳卒中は、脳の血管が破れたり、詰まったりすることで、脳のはたらきに障害が起こる病気で「脳血管障害」ともよばれます。脳卒中は死亡原因としては、がん、心疾患に続く第3位であり、介護を要する寝たきりになる疾患の第1位なのです。私たちが最も想像したくない自分の老後、それは「寝たきりの自分」ではないでしょうか?医療が進んだ現在でも、いったん脳卒中を発症すると、後遺症が残る可能性が高く、元の生活に戻るのが難しくなります。日頃から脳卒中にかからないように予防に心がけることがとても大切です。
当院では、脳卒中を予防するために患者様それぞれに応じた適切なアドバイスを提供することを心がけています。
脳卒中予防は、脳神経外科クリニックである当院にご相談ください。

脳卒中の種類

脳卒中は、発症の原因によって「虚血:脳の血管が詰まるタイプ」「出血:脳の血管が破れるタイプ」の2つに区別されます。
脳の血管が詰まって起こるものに「一過性脳虚血発作」「脳梗塞」があります。
脳の血管が破れて起こるものに「脳出血」「くも膜下出血」があります。
脳卒中の割合を見てみると、脳梗塞が約65%、脳出血が約25%、くも膜下出血が約10%です。
以前は脳出血が多かったのですが、血圧の管理がしっかりと行われるようになり、脳出血の割合は減り、生活習慣病と密接な関係のある脳梗塞が増えてきたのが特徴です。

当院の脳卒中予防外来の5つの特徴

  • 脳神経外科専門医・脳卒中専門医である院長が診療いたします。
  • 高性能のMRI機器を用いて脳卒中の評価をおこないます。
  • 脳卒中予防に関しては即日対応を心がけています。
  • 大学病院や脳卒中センターとの連携が密で手術が必要な場合はご紹介いたします。
  • 脳卒中予防のための治療や定期的検査が必要な方のご要望にお応えいたします。

くも膜下出血

くも膜下出血は、メディアでも取り上げられることが多く、皆さんも一度は聞いたことがある病名ではないでしょうか。脳の血管の病気である脳卒中のなかの一つで、くも膜下出血の多くは脳動脈瘤が破裂することで発症します。これまで多くの脳神経外科医が、くも膜下出血の患者さんを救うために、昼夜治療にあたり、多くの研究がなされ、治療方法が開発されてきた歴史があります。しかしながら、医療が発達した現在においても、くも膜下出血は、致死率・後遺症率ともに高い重篤な疾患です。クリニックを受診するような軽症のくも膜下出血は予後がいいことが知られています。早期発見及び適切な治療を迅速に行う必要があり、脳神経外科にご相談ください。

くも膜下出血の前兆となる初期症状を見逃すな!

くも膜下出血は突然起こるので、基本的には前兆症状はありませんが、くも膜下出血の症状や、時にある前兆症状の特徴を知っておくことは重要です。
くも膜下出血の頭痛は「人生最悪」の「突然の激しい頭痛」が特徴とされています。脳動脈瘤の破裂に先立って起こる頭痛を警告頭痛(warning headache)といいます。脳動脈瘤が急激に大きくなる時に周辺の神経を圧迫することで視力が低下したり、物が二重に見えたり(複視)、瞼が下がったり(眼瞼下垂)することがあります。後頸部痛、意識消失、めまい、気分不快など非典型的な症状の場合もあります。症状が軽度の場合は風邪や肩こりと診断されることもあります。いつも血圧が高くない方が異常な高血圧になっている場合も注意が必要です。
「いつもと違う」「突然」の頭痛がある場合は脳神経外科を早めに受診することをお勧めします。
頭痛外来を歩いて受診するくも膜下出血(Walk in SAH)は、再破裂を予防するために、早期発見し治療することが重要です。様子見ることなく、即日対応いたします。

くも膜下出血の原因は?

頭蓋骨と脳の間には硬膜、くも膜、軟膜と3層の膜があり、くも膜下出血はくも膜と軟膜の間の空間であるくも膜下腔に出血することで発症する病気です。
多くの場合は、脳動脈にできた風船のように膨らんだ瘤(こぶ)である脳動脈瘤の破裂でおこります。そのほかに、脳動脈解離や脳動静脈奇形や頭部外傷でもおこることがあります。
くも膜下出血
頭部CT検査:白く映っているところがくも膜下出血
脳動脈破裂による脳底部のくも膜下出血
【普通のくも膜下出血の原因となる疾患】
脳動脈瘤、脳動静脈奇形、脳動脈解離ほか
また、少し変わったくも膜下出血もあります。脳動脈瘤が破綻すると脳底部を中心に出血が広がりますが、脳の円蓋部(えんがいぶ)とよばれる脳の表面に少量のくも膜下出血が起こることがあります。この場合は脳動脈瘤の破裂が原因のことはまずありません。円蓋部くも膜下出血で最も多いのは外傷性です。問題となるのは非外傷性で原因が特定できないこともあります。高齢者の場合はアミロイド血管症、若年者で可逆性脳血管攣縮症候群(RCVS)が原因として多いようです。そのほかに脳静脈洞血栓症細菌性心内膜炎(末梢の微小な感染性脳動脈瘤の破綻)、脳動静脈奇形、動脈解離、血管炎などが原因のことがありより詳しい検査が必要となることがあります。見逃されやすい画像所見であり注意が必要です。
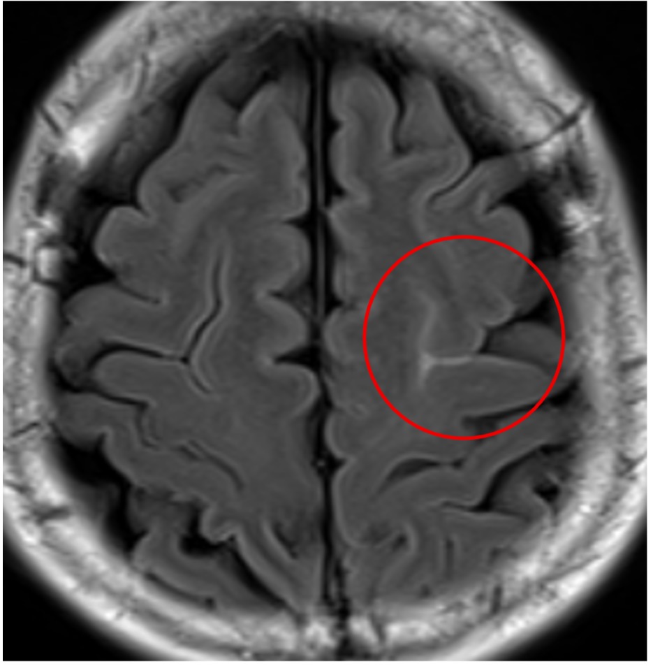
円蓋部(えんがいぶ)くも膜下出血
頭部MRI:白く映っているところがくも膜下出血
脳の表面に少量の円蓋部(えんがいぶ)くも膜下出血
【円蓋部(えんがいぶ)くも膜下出血の原因となる疾患】
頭部外傷、アミロイド血管症、脳静脈洞血栓症、可逆性脳血管攣縮症候群(RCVS)、細菌性心内膜炎ほか

くも膜下出血の急性期治療

当院で発見されたくも膜下出血の患者さんは、連携病院にご紹介させていただきます。くも膜下出血は、現代でも致死率・後遺症率ともに高い重篤な疾患です。脳動脈瘤が破裂した場合、一度破裂した脳動脈瘤の壁は非常に薄くなっているため、再出血してしまう危険性が高いといえます。再出血をきたすと致死率が劇的に高くなるため、下記の緊急手術で止血処置を行う必要があります。

脳動脈瘤クリッピング術

全身麻酔下に開頭手術を行うもので脳動脈瘤の根元にクリップをかけ脳動脈瘤への血流を遮断する方法です。

脳動脈瘤コイル塞栓術

ほとんどは全身麻酔下に、太ももの付け根から動脈に細い管(カテーテル)を入れ動脈瘤の中にプラチナ製のコイルを充填し動脈瘤への血流を遮断する方法です。

くも膜下出血の予防

くも膜下出血の手術をたくさん行ってきた脳神経外科専門医がクリニックで最も注力する診療の一つです。
くも膜下出血を予防するためには、
  • 脳動脈瘤があるかどうかを知る
高性能MRI検査では脳動脈瘤の有無を調べることができます。
  • 破裂の危険因子となる生活習慣の改善を行う
破裂率は高めるけれども、各々で改善することが可能な危険因子は、高血圧・喫煙・過度の飲酒の3つです。
  • 外科的な予防治療を検討する
破裂する危険性が高いと判断された脳動脈瘤については外科的な予防治療が検討されます。

院長からのメッセージ

  • 原因がわからない「突然の頭痛」がある場合は脳神経外科を早期に受診しましょう。
  • 脳動脈瘤の家族歴のある方は脳ドック頭部MRI/MRA検査で脳動脈瘤の有無を確認するのが良いでしょう。
  • くも膜下出血の予防のために禁煙・節酒・血圧管理をしましょう。
突然の頭痛が危ないと聞いたことありませんか?
「突然の頭痛」「あぶない頭痛」の代表がくも膜下出血です。 頭蓋骨と脳の間には硬膜、くも膜、軟膜と3層の膜があり、くも膜下出血はくも膜と軟膜の間の空間であるくも膜下腔に出血することで発症する病気です。突然の激しい頭痛や吐き気や嘔吐、意識障害で発症し、3人に1人は死亡、3人に1人は重度の後遺症を残し、残りの方々は元気に回復されます。軽症の状態で手術することで予後がいいことが知られています。早期発見及び適切な治療を迅速に行う必要があり、脳神経外科にご相談ください。

脳梗塞とは

「ラクナ梗塞」・「アテローム血栓性脳梗塞」は脳の血管が動脈硬化で狭くなって起きます。「心原性脳塞栓症」は脳の外から流れてきた血栓が脳の血管に詰まって起こります。心房細動などの不整脈や心疾患が原因で起こり、梗塞巣が大きく、最も重症になりやすいタイプです。
脳梗塞を引き起こす因子
高血圧・脂質異常症・糖尿病・心房細動などの病気や、喫煙・多量飲酒などの生活習慣に注意!

脳梗塞で“頭痛”のケースは少ない

脳の病気なら頭痛がおこるのでは?と思いがちですが脳梗塞の約9割で頭痛は起こりません。頭痛がないからと言って放置しないで受診することが重要です。頭痛が起こる脳卒中の代表的な病気はくも膜下出血です。

脳梗塞は夏に多い

夏は汗を多くかき、気が付かないうちに体内の水分が不足がちになります。脱水状態が起こると、血液の粘度がまして血栓ができやすくなったり、血液の流れが悪くなり脳梗塞の危険性が高まります。

脳梗塞の前兆を見逃さない

脳梗塞は前兆があることも少なくありません。本格的に発症する前に脳梗塞と同じ症状が一時的に起こるもので一過性脳虚血発作(TIA)といいます。TIAはいわば脳梗塞の”がけっぷち警告“。TIAの症状は通常30分以内に自然に消失しますが、脳梗塞を防ぐためには早急な治療が必要です。6人に1人が3か月以内に脳梗塞を発症するといわれています。

脳梗塞の再発予防 ~3つの柱~

1.血栓の予防

抗血栓療法
脳梗塞の原因になる血栓ができないようにする治療で、抗血栓療法には抗凝固療法抗血小板療法の2つがあり、脳梗塞の原因によって薬が変わります。
  • 抗凝固療法:心房細動などで心臓内の血流がよどんでできる血栓形成を抑えます
  • 抗血小板療法:動脈硬化が原因で作られる血栓形成に重要な働きをする血小板の働きを抑えます

2.危険因子の管理・生活習慣の改善

  • 高血圧
    ラクナ梗塞・抗血栓療法中 130/80mmHg未満
    脳の太い血管が細い場合 140/90mmHg未満
  • 脂質異常
    LDL(悪玉コレステロール)120mg/dL未満
    HDL(善玉コレステロール)40mg/dL以上
    中性脂肪 150mg/dL未満
血圧管理で脳出血の危険性を下げましょう
脳梗塞の再発予防では、血圧管理は非常に大切です。動脈硬化を進行させない役割と、抗血栓薬を服用していると起こりやすい脳出血の発症の危険性を下げる役割もあります。抗血栓薬を服用しているときはできれば血圧を130/80mmHg未満に下げるようにしましょう。
  • 糖尿病
    空腹時血糖 130mg/dL未満
    随時血糖 180mg/dL未満
    HbA1c7.0%未満
    (これらは糖尿病の患者さんの治療目標と同じ)
  • 生活習慣の改善
脳梗塞再発予防において生活習慣改善の柱になるのは、禁煙、節酒、健康的な食事、適正体重維持、運動の5つです。

3.定期検診

脳梗塞の再発が起きていないか、薬が効いているかなどの確認するために、家庭血圧の確認、採血、頭部MRI検査、動脈硬化の評価の検査など定期的な検査を行いましょう。
10年で2人に1人が脳梗塞を再発しています
脳梗塞の再発は発症してから1か月以内が最も再発率が高いですが、年数が経過しても再発の危険性はありますので、油断は禁物です。

生活習慣を見直しましょう!

  • 喫煙の習慣がある
  • 1日に平均すると2合以上のお酒を飲む
  • メタボリック症候群と診断されている
  • 食事について塩分量や摂取エネルギーなどをあまり気にしていない
  • 運動はほとんどしていない
  • 「いびきがうるさい」と家族に言われる
  • 熱いお風呂が好き
  • 脳梗塞発症後、趣味をやめている
チェックの数が多いほど脳梗塞再発の危険性が高くなります。再発を防ぐため生活習慣を見直しましょう!

危険因子を減らせば減らすほど脳梗塞再発の危険性が下ります

脳梗塞の再発を防ぐには、高血圧、糖尿病、脂質異常、心臓病、喫煙、大量飲酒、運動不足、肥満、睡眠時無呼吸症候群といった脳梗塞の危険因子を減らすことが大切です。
危険因子をすべて管理できた場合には、再発リスクが80%以上も下がります。
脳梗塞再発予防において生活習慣改善の柱になるのは禁煙、節酒、健康的な食事、適正体重維持、運動の5つです。

脳出血

脳出血は脳血管が破綻して脳内に出血が生じることでおこります。脳出血が生じると脳細胞を破壊しながら広がっていくために、意識障害・言語障害・片麻痺・視野異常などが出現します。出血はいずれ吸収されていきますが、破壊された脳細胞は再生されませんので後遺症が残ることになります。
脳出血の原因の多くは高血圧です。高血圧により徐々に脳の深部の血管が脆弱になり破綻することで起こる「高血圧性脳出血」です。もうひとつは、高齢者ではアミロイドβ蛋白が脳血管に沈着することによって血管が脆弱になり脳表に近いところに出血をきたす「アミロイド血管症」とよばれます。これは認知症にも関連しているといわれています。
その他にも、脳動静脈奇形・もやもや病・海綿状血管腫などの血管の異常が原因になることがあります。また、抗血栓療法の薬を服薬中の患者さんで脳出血をきたすことがあり注意が必要です。
【脳出血をきたしやすい原因疾患】
高血圧、アミロイド血管症、脳動静脈奇形、モヤモヤ病、海綿状血管腫 ほか